"Estamos para ayudarte confía en Salud y Rehabilitación Bucal"
Sobre nosotros

Somos un grupo de Profesionales y Docentes universitarios de la UNC abocados a la salud Bucal que ofrece un servicio de calidad hacia la comunidad de Cordoba capital y alrededores, con una experiencia de mas de 18 años abocados a la odontologia Rehabilitante.
Servicios
Promociones y Descuento del 20%
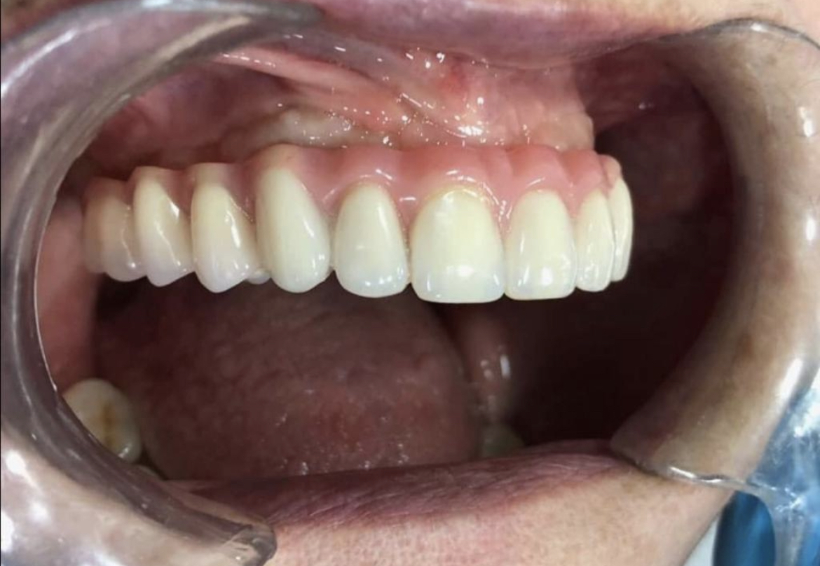
Implantes Dentales: Ofrecemos la colocación de implantes dentales en una sesion de 30 minutos minimamemte invasiva, sin dolor ni molestias , para que puedas continuar con tus tareas.
"En nuestra clínica dental, brindamos la opción de implantes dentales para aquellos pacientes que desean una solución duradera , fija y efectiva para reemplazar sus dientes
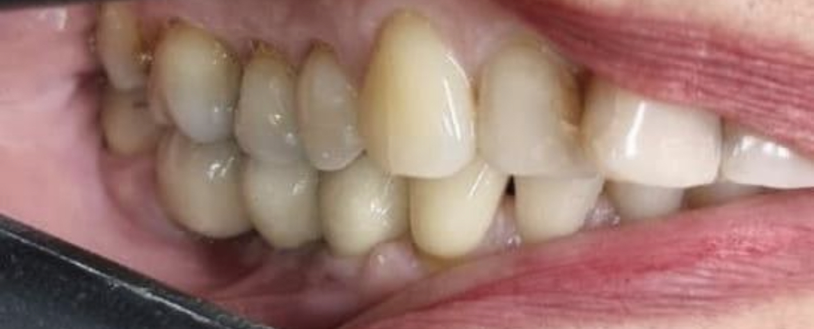
Prótesis Dentales: Realizamos prótesis dentales completas y parciales en 24 hr de acuerdo a tu urgencia.
"En nuestro consultorio dental, ofrecemos prótesis dentales completas y parciales Inmediatas para devolver la sonrisa y funcionalidad a nuestros pacientes.
Tratamientos del Blanqueamiento dental: Utilizamos técnicas de blanqueamiento dental seguras y efectivas
"Gracias a los tratamientos de blanqueamiento dental que ofrecemos, nuestros pacientes pueden lucir una sonrisa más brillante y radiante de manera segura y efectiva
Fotogalería















Testimonios
Gracias al equipo de CordobaDent por la atencion y los profesionales que son".
- Nora de Salta ⭐️⭐️⭐️⭐️
Mi experiencia con el Doc jose fue genial llegue un lunes y el martes ya tenia los implantes colocados , sin ningun problema ! .ha sido excepcional. "
- Paola de Mina clavero ⭐️⭐️⭐️⭐️⭐️
En un Dia me hicieron mi protesis me encanta como quedo!!!.
-Vero ⭐️⭐️⭐️⭐️
Excelentes profesionales muy buena atención
-Ignacio janif de catamarca ⭐️⭐️⭐️
Contacto
¿necesitas hablar con nosotros?
Si buscas una clínica dental especializada en Prótesis Dental e Implantología Oral en Nueva Cordoba, ¡has llegado al lugar indicado! En CordobaDent, nos dedicamos a brindar atención de alta calidad, con un enfoque interdisciplinario y una atención personalizada hacia cada uno de nuestros pacientes de manera etica y responsable.Si deseas contactarnos, puedes hacerlo de diversas maneras.
CordobaDent
Crisol 212 Nueva Cordoba, cordoba, Argentina 5000.
Número de teléfono
Email
Facebook
https://www.facebook.com/share/Km3tRF6DNQiMN5rg/?mibextid=LQQJ4d
Instagram
@cuenta_de_Instagram
Twitter
@cuenta_de_Twitter